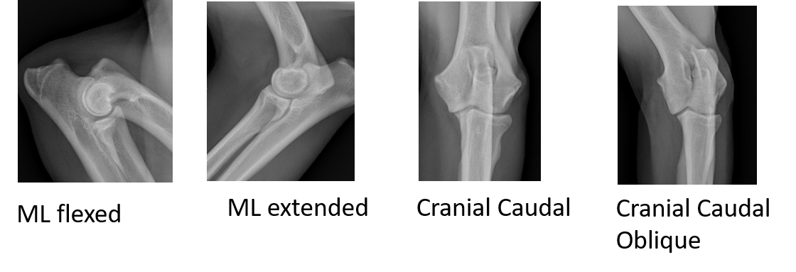
Elbow Dysplasia Screening Posted on March 9, 2020March 9, 2020 by sitemaster Behavior Career Outcomes Diagnoses Dog Data Genetic Tests Inbreeding Performance Reproduction Selection Behavior Career Outcomes Diagnoses Dog Data Genetic Tests Inbreeding Performance Reproduction Selection Search Impact Screening Scoring Selection Trends Impact Screening Scoring Selection Trends Screening [ninja_tables id="3944"] Best Views For Elbow Diagnoses Multiple diseasesBVA only 2 views4 views best practice [ninja_tables id="3987"] Search Impact Screening Scoring Selection Trends Impact Screening Scoring Selection Trends Screening [ninja_tables id="3944"] Best Views For Elbow Diagnoses Multiple diseasesBVA only 2 views4 views best practice [ninja_tables id="3987"]